Periodontal Surgery
牙周再生手術
我們的牙齒之所以能穩固讓我們好好咀嚼食物,主要是因為我們牙齒周圍的牙周組織(包括齒槽骨、牙周韌帶、牙骨質等)牢牢的固定住我們的牙根,猶如橋樑的橋墩與周圍的地基穩固相連就能讓橋面能承受來往車流的重量及抵擋滾滾洪水。但是在牙周病的情況下,牙周組織會因為病菌的侵襲及雖之引發的組織發炎反應而開始受到破壞,導致齒槽骨的流失、牙周韌帶發炎及伴隨牙骨質破壞,使得牙根失去支撐開始動搖甚至最後導致牙齒脫落,就如同橋樑四周的地基被掏空,終將導致橋樑因為承受不住猛烈的水流衝擊而崩塌。
為了治療牙周病,逐漸發展出所謂的第一階段非手術性牙周病治療(一般又稱為基礎牙周病治療)及第二階段手術性牙周病治療(通常包括傳統的牙周翻瓣清創手術、及本次要討論的牙周再生手術等),第一階段非手術性牙周病治療及第二階段牙周翻瓣清創手術能夠有效的幫助我們免於讓牙周組織遭受持續的破壞,也就是『停損』以延長牙齒的使用壽命,但是這兩種方式較難讓已流失的牙周組織回復到被破壞以前的狀態,也就是缺少『重建』的效果,此限制使得特定嚴重牙周破壞的牙齒在治療後仍面臨牙周組織欠缺,牙齒長期預後仍不理想的情況,這時候第二階段牙周病治療中的牙周再生手術就是牙周病醫師手上幫助病人重建牙周組織的有力工具。
牙周再生手術的發展已經有半個多世紀,嚴格說起來不是最新的手術方式,但也因為相關術式長期的演進發展及文獻資料的長久累積,牙周再生手術被證實是有效及安全的治療方式,從最早發展的引導組織再生的方式(guided tissue regeneration , GTR)到近期受到重視的各種微創處理方式,當代的牙周再生手術能夠在受過專業訓練的牙周病專科醫師的巧手下在傷口最小(肉眼幾乎不可見),術後的不適降到最低(幾乎不腫不痛,不影響日常生活作息)的前提,讓牙周組織能夠盡可能地回復到牙周病破壞以前的狀態,達到所謂的牙周組織再生,讓健康的牙骨、牙周韌帶重新發揮功能穩固我們的牙根,讓上天賜給我們自然齒列有機會使用的更久、讓我們重拾咀嚼的樂趣,更讓我們不用面對拔牙這種艱難的困境。
當然牙周再生手術並不是每個患者都適用,建議相關的患者能諮詢牙周病專科醫師,通常需要從患者的系統性疾病、生活習慣、口腔衛生、牙周組織破壞的型態等各種複雜的因素綜合評估,才能決定是否適合進行此種術式,讓手術發揮最好的效果喔。

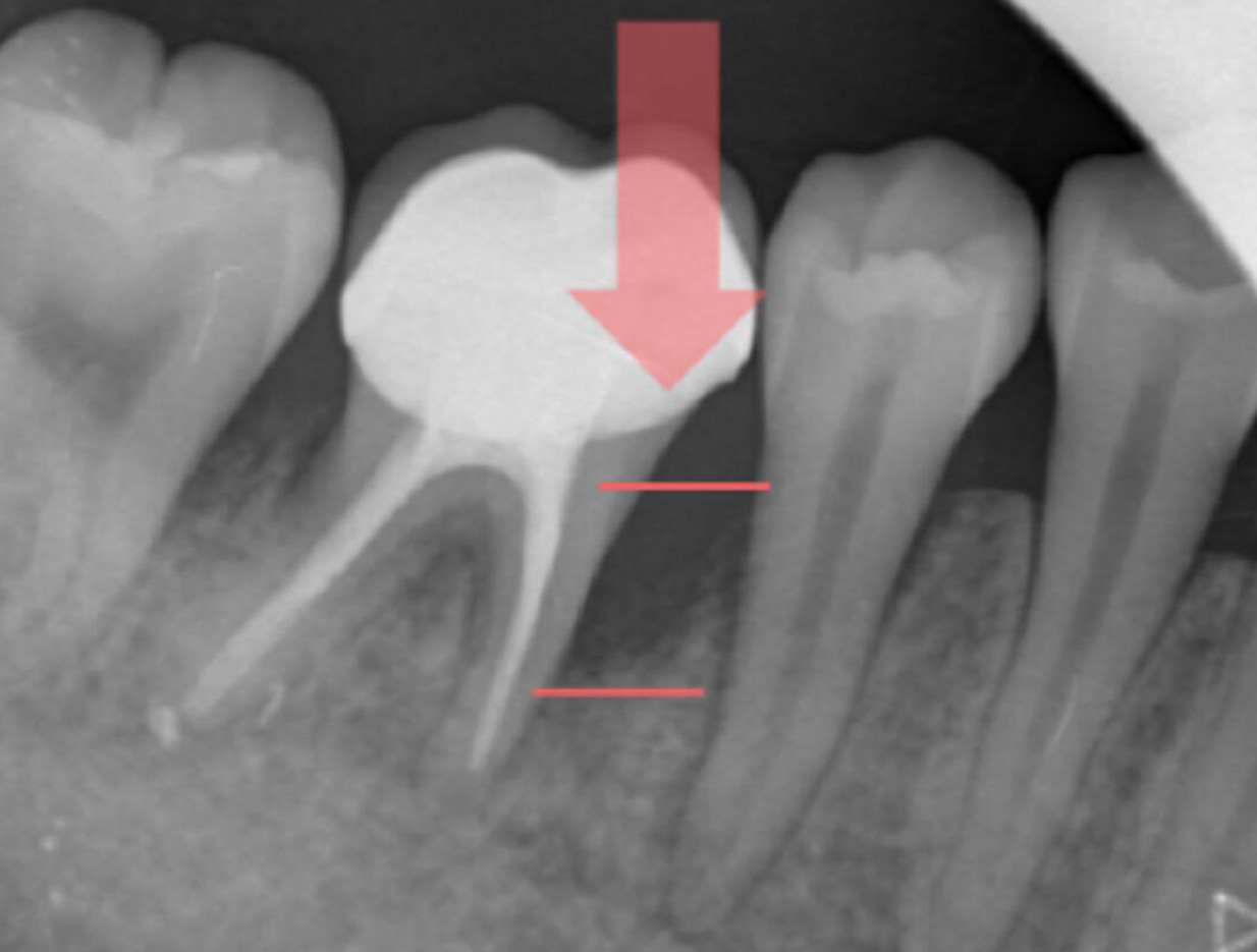
牙周病造成的牙骨流失

牙周再生手術前
X光片(紅色橫線之間黑色區域為骨頭喪失所在)

牙周再生手術後
兩年X光片(牙周骨長回)