牙齦美容手術的範圍
1.牙根覆蓋手術 : 適用於牙齦萎縮,改善牙根外露、敏感與美觀問題。
2.牙冠增長術(改善笑齦): 適合笑起來牙齦露出太多的人,能調整牙齦高度,讓笑容比例更優雅。
3.人工植牙相關 : 牙肉組織增厚術及游離牙齦移植術,能夠讓植牙假牙的外觀更美觀自然, 也讓植牙周圍的組織更強壯,抵抗細菌及外力的破壞,延長植牙的使用年限。
牙齦美容手術除了能夠改善我們牙齒的美觀,更能讓口腔的健康得到更好的守護,若有需要可以諮詢專業的牙周病專科醫師評估及治療。

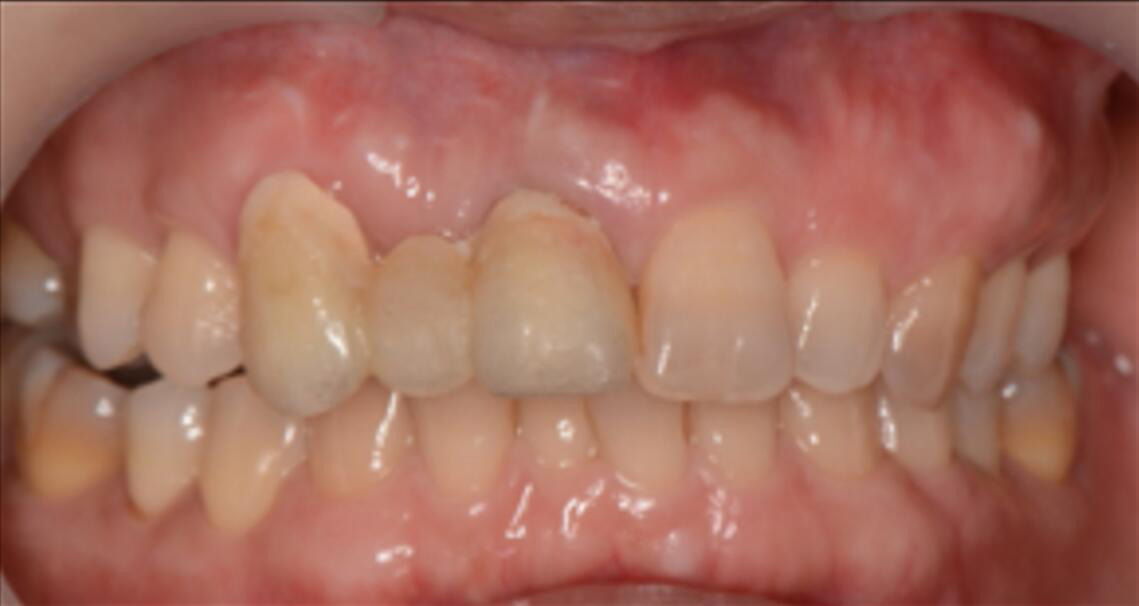
植牙手術搭配牙齦美容手術前
(左右邊牙齒長度顯著不和諧)

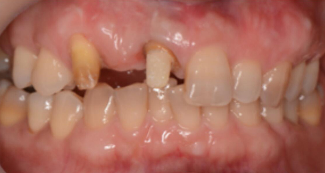
植牙手術搭配牙齦美容手術前
(左右邊牙齒長度顯著不和諧)

植牙手術搭配牙齦美容手術後
(牙齒外觀更為和諧)

植牙手術搭配牙齦美容手術前

植牙手術搭配牙齦美容手術後